Herpes Zoster (Shingles)
Herpes zoster is a disease that is caused by the varicella zoster virus (VZV). It is commonly known as “shingles”. VZV is the same virus that causes chickenpox. After recovering from chickenpox, the virus remains in the body in a dormant state. It can later become active again, causing shingles. Shingles is characterized by a painful skin rash. This usually appears on the side of the face or body. Anyone who had chickenpox may be at risk of getting shingles.
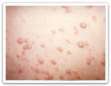
Image Content Provider: CDC/Joe Miller
Symptoms
At first, symptoms may include pain, a burning feeling in or under the skin and tingling in the affected nerve areas. These usually occur on the chest, back and other areas.
The nerve areas infected may then form a rash that appears on one side of the body and causes pain. Blisters may develop filled with fluid. This fluid may be clear at first but become cloudy within three to four days. Later on, there may be aching, burning and pain in the area of the rash. This area may be sensitive to touch. The pain may last from thirty days to a couple of years. Some people may not develop the rash and blisters.
Causes
After you recover from chickenpox, the VZV remains in your body in a dormant state. In some people, it may stay dormant forever. In others, the virus may become active again, causing shingles. It is not known what causes the virus to "wake up". Factors like infection, stress or aging may weaken the immune system and cause the virus to become active again. Some medicines may also cause the virus to "wake up".
A person with shingles may pass the virus to another person who has never had chickenpox. This happens through direct contact with the open sores of the shingles rash. This can cause chickenpox (not shingles) in the exposed person.
Treatment
Shingles can be treated with antiviral medicines. These medicines can help lessen the duration and severity of the disease. Medicines can also be taken to ease the pain caused by shingles.
Prevention
Shingles can be prevented by preventing chickenpox. Chickenpox (a.k.a. varicella), in turn, can be prevented through immunization. Manitoba has a provincial immunization program, which provides free, publicly-funded varicella vaccine to those who are eligible.
If you had chickenpox before, a shingles vaccine can help prevent shingles from developing later in life. The shingles vaccine, however, is not currently part of Manitoba's immunization program.
If you never had chickenpox, avoid contact with people who have it or shingles. You can also ask them to cover the blisters. The fluid from the blisters of either disease can cause chickenpox (not shingles) in those who never had it.
Manitoba Health Resources
For Health Care Providers
- Herpes Zoster (Shingles)

(June 2014) - Immunization Program Manual for Immunization Providers in Manitoba
Other Resources
- Centers for Disease Control and Prevention – About Shingles (Herpes Zoster)
- HealthLink BC – Shingles Topic Overview
Communicable Disease
Control (CDC) Health Links – Info Santé |


